
В России предложили малоинвазивный способ оценки тяжести миокардита
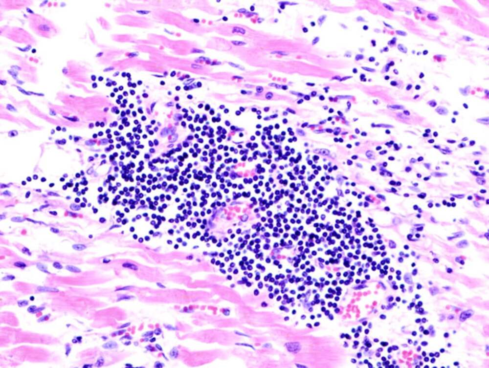
Миокардит — воспалительное заболевание сердечной мышцы, которое может развиваться после инфекции или на фоне иммунных нарушений. Оно остается одним из самых сложных для неинвазивной диагностики: до сих пор не существует лабораторного теста, позволяющего уверенно подтвердить или исключить диагноз.... Далее


Свежие комментарии